Comminuted Fracture Distal Humerus
| At Presentation |
| A 67 year old gentleman had a fall on the elbow and presented with fracture of distal end of humerus (lower portion forming part of the elbow joint). The fracture was extending into the articular portion of the humerus. This was complicated by the complex nature of the fracture as the bone was broken into many pieces –the larger fragments demarcated by red lines. |
| |
 |
| |
| |
| |
| |
 |
After surgery
In the surgery the fragments were brought back into place and a congruent joint surface was restored. The fracture was fixed using locked plate on both the columns. The Olecranon was osteotomized for getting a better view of the joint, which was later fixed with a tension band. |
|
| |
| |
| |
| |
| 2 weeks post surgery |
| The elbow movements and function 2 weeks after surgery. There is still some restriction of movement, which resolved over time to gain excellent function. |
| |
 |
| |
| |
| |
| |
 |
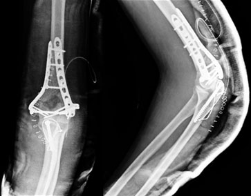
1 ½ year post surgery
The fracture healed well as seen in the xrays. The implants are still holding well. We do not recommend implant removal routinely unless the implant is causing any trouble. |
|
| |