Intra Articular Osteotomy
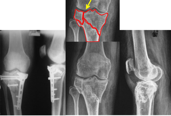
| This 43 year old gentleman had an accident about one & a half years back. He presented to us with pain in the right knee. The plate & screws had been removed about 2 months prior to his visit here. The new x-ray showed malunited fracture (fracture united in wrong position) of the upper tibia as shown in the picture above – the red lines show the fracture lines with the step (yellow arrow) in the articular portion of lateral condyle. |
| |
 |
| |
| |
| |
 |
Post Surgery
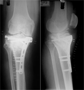
An intra-articular osteotomy was performed. In this procedure the fracture is recreated along the original fracture configuration and then it is fixed in the corrected and desired position. In this instance the fixation was done using Locking Plate (the screws lock with the plate, providing additional hold & stability) and cancellous screws. |
|
| |
| |
| |
| 1 Year |
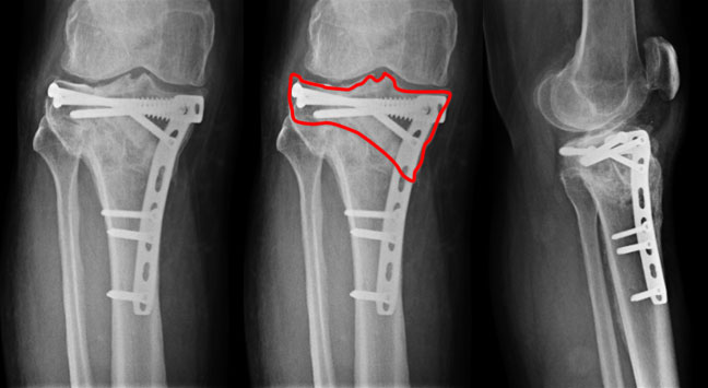
| The x-ray picture at 1 year after reconstruction. The fracture is healed well. There is no articular step now. The osteoporosis of the bones has reduced markedly. |
| |
 |
| |
| |
| |
| The clinical pictures showing excellent alignment and function at the end of 1 year. |
| |
 |
| |