| At Presentation |
| 15 year old boy, presented with mobile nonunion of upper 1/3rd of tibia of 7 months duration. He had developed a pathological fracture secondary to osteomyelitis which was secondary to a previous surgery for hematoma evacuation. There was no sign of an active infection on presentation. |
| |
 |
| |
| |
| |
| Clinical Appearance at Presentation |
| The clinical pictures at presentation. The scars are from previous surgery. The bowing of left tibia was at the fracture site. Otherwise had full range of motion prior to surgery. |
| |
 |
| |
| |
| |
 |
2 days after surgery
During the surgery an Ilizarov ring fixator was applied. The fibula was cut (red arrow) to allow compression at fracture site. Gradual compression was done and he was encouraged to bear full weight. |
|
| |
| |
| |
| 2 weeks post surgery |
| Clinical pictures at the end of 2 weeks showing good range of motion. The scar seen on the left picture is from the fibula was cut. |
| |
 |
| |
| |
| |
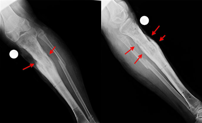
| 2 months |
| 2 months on, he continues to improve. The x-rays show signs of healing. There is formation of bridging callus. |
| |
 |
| |
| |
| |
| 4 months post surgery – before fixator removal |
| At 4 months the fracture is healed. The callus is well consolidated. The fixator was then removed after gradual disassembly. |
| |
 |
| |
| |
| |
| After fixator removal |
| The x-rays right after fixator removal. The callus is well seen (red arrow) bypassing &bridging the nonunion site. |
| |
 |
| |
| |