News & Updates


   
   


































































































































































Hip Replacement


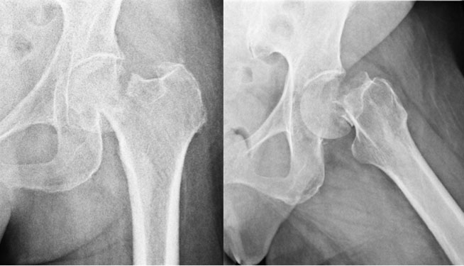
Injury
This 54 year old lady, smoker, had a slip and fell on her hip. There was a fracture of the neck of femur on the left side. The options in such a situation are to either fix the fracture or replace the joint either half (Hemiarthroplasty-only the ball of the joint is replaced) or complete (Total Hip Replacement-boththe ball & socket are replaced).
 
 
 
 
Post surgery

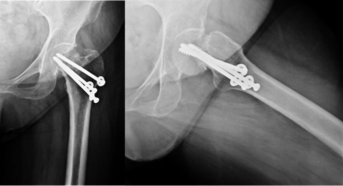
Since the hip joint was normal before the fracture, it was decided (with patient’s consultation) to do a fixation and try and salvage the hip. A closed reduction and percutaneus cancellous screw fixation (minimally invasive) was done.

 
 
 
 

2 months post surgery

The fracture seemed to be well on its way to heal. She was walking well though still with the walker.

 
 
 
 
3 months post surgery

In her sleep one day she suddenly felt a sudden sharp pain in the hip joint, afterwards she was ok, so she continued to walk on the leg. She came back to us after a few days of limping and not being able to walk as earlier. The x-rays at that time showed this picture – where the screws had cut out of the ball (femoral head) and were even pinching on the socket. This was the cause of her pain, limp & shortening.

 
 
 
 
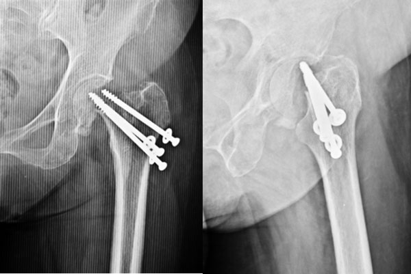
Post Total Hip Replacement
The xray picture after total hip replacement. The socket (acetabular cup) was fixed with bone cement whereas the femoral stem is uncemented. The length of the limb has been restored.
 
 
 
 
2 months after THR

2 months on the patient is walking well.