Home
|
News & Updates
|
Contact Us
About Us
About Us
Dr. Mangal Parihar
Why CLLR?
Team
Ilizarov Technique
Ilizarov Technique
Lengthening
Deformity
HTO
Myths about Ilizarov
Process
Process
Patient instructions
for admission and surgery
Case Studies
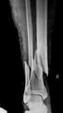
Fractures
• Acute Fracture
- Comminuted Fracture Distal Humerus
- Compound Fracture & VAC
• Nonunion
- Proximal Tibia
- Tibia
- Distal Humerus
• Malunion
- Femur
Bone Deformity
• Acute Correction
- LRS - Bilateral Tibia
- LRS - Rotational Deformity Femur(with Shortening)
- LRS - Oblique Plane Deformity Femur
- Nailing
• Ilizarov Correction
- Proximal Tibia
- Distal Femur
• Hexapod Correction
- Metaphyseal Dysplasia
Bone Infection
• Infection
- Femur
• Infected Nonunion
- Proximal Femur
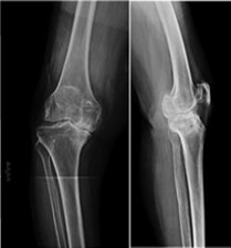
Joint Problems (Arthritis)
• Hip Replacement
• Knee Replacement
• Intra Articular Osteotomy
• High Tibial Osteotomy (HTO)
• Arthrolysis - Elbow
• Ilizarov Hip Reconstruction
FAQs
Pin Site Care
HTO
Lengthening
Testimonials
Case Study
News & Updates
Case Study
Fractures
Bone Infection
Deformity
Joint Problems (Arthritis)
*Caution images may be disturbing viewers discretion is advised