News & Updates


   
   


























































































































































Nonunion - Distal Humerus


At presentation
This 58 year old lady had a fracture of the distal humerus (close to elbow) about 6 years back. She had already been operated twice for the fracture, once with the plate and second time the intra-medullary Ender’s nails were introduced supplementing the plate with bone grafting. She had pain at the fracture site and restriction of elbow movements.
 
 
 
 
At presentation

The x-rays showed the fracture was not united. The screws were coming out and the Ender’s nails were broken (red arrow).

 
 
 
 
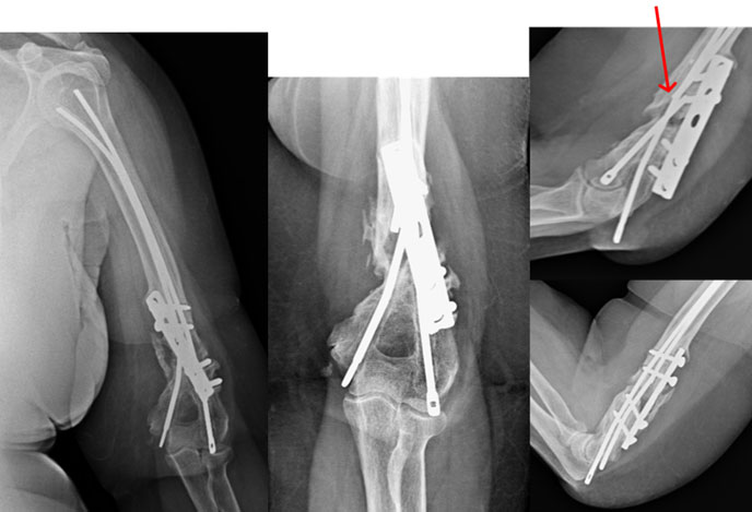
2 days post surgery

The broken and loose implants were removed, the fracture ends were freshened and fixation of both the medial and lateral pillars was done using locked plates. The movements of elbow 2 days after surgery.

 
 
 
 
6 months post surgery

The fracture healed well without any complications or bone grafting.

 
 
 
 
9 months - function

The movements at the elbow and excellent functional recovery

 
 
 
 
1year - function

The function continues to improve at 1 year.