News & Updates


   
   











































































































































































































Infected Nonunion Proximal Femur


 
2006

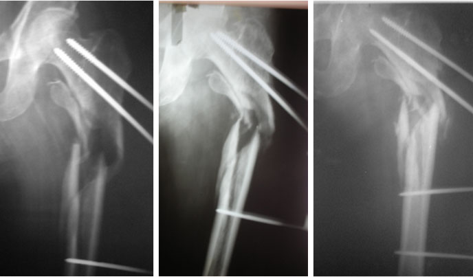
This 67 year gentleman had a fall at home in 2006. He had a subtrochanteric fracture (below hip joint) of left femur. He was operated and fixation was done using an intra-medullary nail.
 
 
 
2006
Unfortunately he developed infection and was re-operated during which an external fixator was applied to clear out the infection.
 
 
 
 

2008

He now had an infected stiff nonunion. Discharging sinus, pain and limp.

 
 
 
2009

Again operated for the same, this time fixed with locking plate and dynamic hip screw.

 
 
 
At presentation - 2010

At presentation he still had infection, discharging sinuses with pus draining out (red arrows). Painful limp. Depression. Lack of confidence.

 
 
 
Xrays At Presentation
The x-rays at presentation show loosening of screws, sclerosis at the fracture site, sequestrum (dead necrotic bone) (red arrow).
 
 
 
 
The FDG-PET Scan showed infection right under the plate and in the antero-lateral aspect of the proximal femur.
 
 
 
 
The arrows show calcium sulfate pellets loaded with antibiotic. These pellets help in the elution of high dose of antibiotic locally to the infected area. This helps in better control of infection and obviates the need to give intravenous antibiotics for a long time (recommended period in osteomyelitis is 4-6 weeks of IV antibiotics). The advantage of using the calcium sulfate pellets is that it gets completely absorbed in around 6 weeks time, thereby preventing the need for another surgery.