Compound Fracture & VAC
| |
 |
This 50 year old gentleman had a severe crush injury with full thickness skin loss, bone loss and dislocation at the ankle. He was treated initially elsewhere. A Hoffman type external fixator was applied and debridement was done. After about 2 weeks when the infection became uncontrolled he was advised an amputation. |
|
| |
| |
| |
| When he came to us this was the appearance of the wounds, foul smelling and the distal tibia was necrosed (dead). |
| |
 |
| |
| |
| |
| The appearance of the wounds after 5 days of VAC dressings. The wound looks cleaner, no foul smell, the edema on the foot is reduced. |
| |
 |
| |
| |
| |
 |
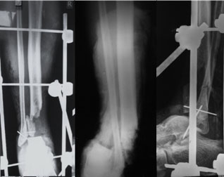
The xrays after 1 week of debridement and VAC dressing. The xray on the left side is as seen from the front (AP view) and the one on the right is as seen from the side (Lateral view) |
|
| |
| |
| |
| 2 weeks after we started using the VAC dressings, the wound was healthy and Split-thickness Skin Graft was done. |
| |
 |
| |
| |
| |
| 1 month |
| 1 month post surgery the graft is settling down well. |
| |
 |
| |
| |
| |
 |
4 months
4 months post surgery. The xrays show progress of healing at the talo-fibular junction. There is formation of bony connection between cut end of tibia and fibula, helping in the transmission of weight from tibia to the fibula. |
|
| |
| |
| |
| 6 months |
| 6 months post surgery – x-rays show good healing at the talo-fibular junction and consolidation of extra bone at tibio-fibular junction. |
| |
 |
| |
| |
| |
| 6 months |
| Appearance of the leg after 6 months. All wounds have healed, edema of the leg continues to reduce. Patient walking full weight bearing with the help of a brace to protect the union. He is expected to walk without the brace in another 6 months to 1 year once the fibula has hypertrophied. |
| |
 |
| |